Cystinurie-1

Cystinurie deel 1 (najaar 2022)
(cystine kristallen in de urine) en cystinliths (cystine stenen in de urine) bij de Ierse Terriër.

Afbeelding 1.

afb.2 Cystine kristal, Foto: eigen praktijk

Afb.3 Foto van cystinestenen vers verwijderd uit de urineblaas uit eigen praktijkarchief

Cystinurie is een genetisch bepaalde stofwisselingsziekte bij zoogdieren en mensen. Hierbij zijn de nieren niet in staat tot heropname van het uitgescheiden aminozuur cystine – vervolgens als cystinekristallen (afbeelding 2) via de urine uitgescheiden. Soms met cystinesteenvorming tot gevolg (afbeelding 3). Deze cystinestenen hebben soms een zeer ruw oppervlak waarmee zij zich kunnen vastzetten in de urineleiders, de blaas en de urinebuis. Wanneer dit de urineafvoer verstopt ontstaat een levensbedreigende situatie.

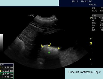
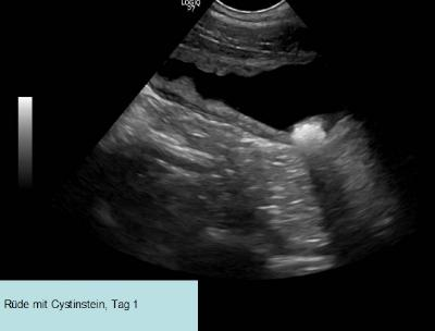
Hoewel statistische cijfers niet dramatisch lijken, is het verloop van de ziekte soms beangstigend. Als de urine verstopping niet snel wordt herkend en behandeld, kan de patiënt eraan overlijden. Daarom moet men onmiddellijk handelen als bij een urineonderzoek cystinekristallen worden aangetroffen! De snelle steen-ontwikkeling in drie dagen tijd is te volgen op de drie sonografische beelden van een aangetaste Ierse Terriër reu (Afbeelding 4a, 4b, 4c).

Algemeen wordt cystinurie ingedeeld in verschillende typen: naar exacte oorzaak, gen lokalisatie en wijze van vererving. 
Soms is het type cystinurie volledig bekend en bestaat een geschikte genetische test. Dit is het geval bij ‘type I‘ en ‘type IIa en IIb‘ die voorkomen bij de mens en enkele hondenrassen (Newfoundlander, Pinscher).

Meestal is het type cystinurie grotendeels onbekend. Bijvoorbeeld bij ‘type III ‘ voorkomend bij de Ierse Terriër en de Kromfohrländer. Dit type wordt androgeen-gerelateerde cystinurie genoemd. Het verervingsproces en de exacte pathofysiologie is tot op heden onverklaard. 

Het volgende is wel bekend. Het komt alleen tot uiting bij reuen - indien het mannelijk hormoon testosteron normaal functioneert. Dit type cystinurie stopt onmiddellijk zodra het testosteron afwezig of niet functioneel is.
Een door cystinestenen getroffen patiënt kan worden behandeld middels castratie (orchiectomie, verwijderen van teelballen), chemische castratie (via inbrengen van een hormoononderdrukkende chip), of het stoppen van de werking van testosteron (via orale toediening van een androgeenreceptorblokker, de enige behandeling met behoud van vruchtbaarheid).

Nog altijd is onderzoek gaande om cystinurie type III volledig te begrijpen.

Het genetisch instituut van de Vetsuisse Universiteit in Bern/Zwitserland onder leiding van Prof. Leeb loopt wereldwijd bij het onderzoek naar een genetische test voor cystinurie bij de Ierse Terrier. In de herfst van dit jaar start een nieuw onderzoek, waarbij rekening wordt gehouden met een geheel nieuwe hypothese voor de oorzaak van cystinurie en dus met een nieuwe zoektocht naar een defect gen of een defecte combinatie van genen, geïnitieerd door mijn collega Marieke
Verwoerd en mijzelf.

Foto’s van sonografische afbeeldingen van cystinesteenvorming in 3 dagen tijd, bron: eigen praktijkarchief.

In deel 2 zal ik u kort en bondig vertellen wat u kunt doen 1. om deze ziekte bij uw reu veilig en op tijd te herkennen, 2. wat u onmiddellijk moet doen als u een aangetaste hond heeft en 3. wat de stand van de kennis in het onderzoek is.

Dr. Ulrich Merschbrock